• Chamada para a rede fixa nacional: 226097164

Atendimento de 2ª a 6ª feira:10h00-20h00 | Sábados: 9h30-13h00

Insignia – Ortodontia Personalizada

Principais características do Sistema Insignia

  • Ortodontia à medida do doente
  • Planificação e desenho 3D
  • Individualização dos brackets e arcos para cada doente
  • Plano de tratamento digital com brackets e arcos fabricados à anatomia dentária de cada um
  • Duração de tratamento menor
  • Visualização dos resultados finais antes de iniciar o tratamento

Aparelhos de contenção

Quando termina o tratamento, o aparelho é removido e é colocado um aparelho de contenção para manter os dentes na sua nova posição.

Estes aparelhos podem ser placas acrílicas removíveis ou arames fixados atrás dos dentes.

Os aparelhos de contenção são muito importantes, e se não usados correctamente, os dentes podem mexer-se e regressar à posição original.

Existem muitos tipos de contenção e muitas instruções de como usá-las. O mais importante é que devem ser usados com frequência adequada e durante o tempo suficiente para poder encaixar confortavelmente.

Microimplantes

São dispositivos de ancoragem temporária colocados no osso maxilar, podendo ser usados como “pontos de âncora” para influenciar o movimento dentário.

Permitem o tratamento de problemas ortodônticos mais graves sem o movimento indesejado dos dentes adjacentes. Em alguns casos, podem reduzir o tempo de tratamento ou evitar a necessidade de uma cirurgia maxilar. São usados em conjunto com o aparelho e removidos quando já não são necessários.

Cuidados dos dentes e das gengivas

Para termos dentes e gengivas saudáveis devemos remover de forma adequada a placa bacteriana todos os dias.

A placa é a película de bactérias aderentes com coloração que se forma constantemente sobre a superfície dos dentes. Se não removida, é uma das principais razões de perdas dentárias e doenças gengivais.

Siga estas simples instruções:

  • Escove os dentes, gengivas e brackets 3 vezes por da (especialmente após as refeições)
  • Lave entre os dentes pelo menos uma vez por dia e sempre antes de ir dormir
  • Use uma pasta fluoretada- o flúor é usado para ajudar a prevenir a cárie dentária
  • Use um elixir fluoretado pelo menos uma vez por dia para ajudar a reduzir o risco de aparecimento de cavidades- cárie dentária
  • Traga consigo uma pasta dos dentes e o fio dentário para lavar os dentes mesmo quando não está em casa

Como lavo todas as áreas da minha boca enquanto uso aparelho?

No inicio, fazer um bom trabalho removendo placa dos dentes e da linha da gengiva parece muito difícil usando aparelho. Mas com um bocado de prática fica mais fácil.

Seguindo estas dicas também ajuda:

  • Primeiro, remover partes removíveis, como elásticos se os tiver.
  • Colocar a escova num ângulo de cerca de 45º com a gengiva e aplicar pressão suave enquanto escova para a frente e para trás, cima e baixo, e movimentos circulares. Devemos escovar cada dente individualmente durante 10 segundos.
  • Use a mesma técnica de escovagem na superfície interna e externa dos dentes
  • Não se esqueça de escovar as superfícies mastigatórias dos dentes e certifique-se que também escova os dentes posteriores (de trás).
  • Termine escovando entre os brackets, de um modo cuidado para não dobrar nenhum arco ou quebrar nenhuma peça do aparelho.

Com que frequência devo escovar o meu aparelho?

É importante que limpe o aparelho sempre que escova os dentes. O aparelho funciona como uma “armadilha” para a placa bacteriana, aumentando o risco do aparecimento de cárie dentária e doença gengival.

Como eu passo o fio dentário com o aparelho?

É importante que limpe o aparelho sempre que escova os dentes. O aparelho funciona como uma “armadilha” para a placa bacteriana, aumentando o risco do aparecimento de cárie dentária e doença gengival.

Como eu passo o fio dentário com o aparelho?

O uso do fio dentário permite remover a placa bacteriana entre os dentes e em baixo da linha da gengiva nas áreas que não estão ao alcance da escova de dentes.

Se não usar o fio dentário, aproximadamente 40% das superfícies dentárias ficam por limpar!

Use um fio ortodôntico com uma ponta rija que passa no intervalo entre cada dente, acima do arco para os seus dentes superiores e debaixo do arco para os dentes inferiores.

Curve o fio à volta de cada dente numa forma de “C” e mova-o suavemente para cima e para baixo de cada dente, incluindo a linha abaixo da gengiva. Desenrole uma nova secção de fio sempre que avançar de dente em dente.

Quais os melhores produtos para o aparelho?

  • Escovas ortodônticas têm cerdas aparadas em forma de “V” para escovar acima e abaixo dos brackets e do arco
  • Escovas eléctricas podem remover mais placa que as tradicionais escovas manuais. Algumas já vêm com “cabeças” especificas para o doente com aparelho ortodôntico.
  • Escovilhões interdentários têm “cabeças” pequenas com cerdas muito finas, ideais para limpar por trás do arco e entre os dentes.
  • Aparelhos de irrigação usam uma pressão de água ou elixir para limpar à volta do aparelho e ao longo da linha da gengiva. A maior parte tem possibilidade de aumentar ou diminuir a pressão de modo a poder ser usado também em áreas mais sensíveis.

Higiene de um aparelho removível

Remova o aparelho removível da boca e escove os dentes normalmente. De seguida use a escova e a pasta para limpar o aparelho.

Certifique-se que escova suavemente as áreas gengivais cobertas pelo aparelho, incluindo o palato (“céu da boca”) se usa um aparelho removível superior.

Continue a sorrir

Usar um aparelho requer paciência e disciplina. Contudo, os resultados do tratamento podem ser mais do que um sorriso saudável, um tratamento ortodôntico pode prevenir um desenvolvimento de um problema mais sério.

Um higiene oral cuidada é muito importante para manter o tempo de tratamento correcto e pode até reduzi-lo. Contribui também para a saúde dentária e gengival a longo-prazo

A sua recompença é… um bonito e saudável sorriso para a vida!

Emergências ortodônticas

As emergências ortodônticas ocorrem ocasionalmente e embora possam ser incomodativas para os doentes, normalmente são relativamente simples de resolver.

Partes do aparelho:

  • Brackets: estão unidos directamente a cada dente
  • Arco: é unido a todos os brackets e gera força para mover os dentes no correcto alinhamento
  • Ligaduras: pequenos anéis em borracha ou finos fios metálicos torcidos, usados para ligar o arco a cada bracket. Brackets com sistema auto-ligáveis não requerem o uso de ligaduras
  • Banda metálica: argolas metálicas cimentadas nos dentes no sentido de providenciar um meio de ligação mais forte
  • Ganchos e Elásticos: ganchos são usados para ligar elásticos, ajudando a mover os dentes para a sua posição final

Ferramentas úteis para lidar com a maior parte das emergências ortodônticas:

  • Cera ortodôntica
  • Fio dentário
  • Pinça esterilizada
  • Pequeno afiado corta arame
  • Sal
  • Escovilhão interdentário
  • Palitos silicone
  • Analgésico
  • Anestesia tópica

Tratamentos de emergência

Comida entre os dentes

Isto não é uma emergência, mas pode ser desconfortável ou embaraçoso para o doente.

É facilmente resolvido com uso de um fio dentário, um escovilhão interproximal ou um palito de silicone para desalojar a comida entre dentes ou brackets.

Perda de ligaduras

Pequenos anéis elásticos ou finos metais, conhecidos como ligaduras, mantêm o arco nos brackets.

Se uma ligadura se perder, contacte o seu Médico Dentista no sentido de agendar consulta para repor a ligadura.

Ligadura que se solta

Se uma ligadura elástica se solta, o doente pode conseguir colocá-la usado uma pinça esterilizada.

Se uma ligadura metálica está solta, simplesmente tente retirá-la com uma pinça esterilizada.

Se uma ligadura metálica está voltada para o lábio, mas não está solta, pode ser dobrada para trás para eliminar a irritação.

Desconforto

É normal o doente sentir desconforto durante 1 a 2 dias após as consultas de controlo. O desconforto é temporário. Deve ser feita dieta mole nesse período. Pode estar aconselhável fazer bochechos com água morna salgada ou uma medicação analgésica.

Feridas na boca – aftas

Alguns doentes são mais susceptiveis de fazer feridas.

Uma ou mais áreas de úlceras podem aparecer nas bochechas, lábios ou língua, o que se torna muito desconfortável para o doente.

Um alivio imediato pode ser feito usando uma pequena quantidade de anestesia tópica com um cotonete directamente na área afectada.

Irritação dos lábios e das bochechas

Por vezes o aparelho pode ser irritativo para a boca, especialmente quando o doente está a comer.

Uma pequena quantidade de cera ortodôntica pode funcionar muito bem como tampão entre o metal e a boca.

Simplemente tire um pouco de cera ortodôntica, forme uma bola do tamanho de uma pequena ervilha, achate-a e coloque-a a cobrir totalmente a área do aparelho que causa a irritação.

Pode comer mais confortavelmente deste modo. Se ingerir cera acidentalmente não se preocupe, pois é inofensiva.

Arco protuberante em excesso

Ocasionalmente a parte terminal do arco move-se e irrita a boca do doente.

Se o arco não puder ser deslocado para uma posição confortável, use cera ortodôntica para diminuir desconforto.

Em último recurso, se o arco estiver a incomodar muito pode cortá-lo com um corta arame ou tesoura afiada. Use uma gaze para impedir que engula o pedaço cortado.

Pode ser necessário usar cera para dar conforto à área irritada.

Brackets, arcos ou bandas soltos

Informe o seu Médico Dentista.

Perda de brackets

Os brackets são a parte do aparelho cimentada aos dentes.

Podem sair se o doente comer algo muito duro ou crocante, ou se, por exemplo durante a prática desportiva sofrer um acidente.

Todos os doentes ortodônticos devem usar uma goteira mole de protecção enquanto praticam desporto.

Marque consulta logo que possível com o seu Médico Dentista.

Peça do aparelho é engolida ou aspirada

Se uma peça do aparelho é engolida não é natural que haja dificuldade em respirar. Informe o seu Médico Dentista e siga as suas indicações.

Muito raramente uma peça pode ser aspirada ( encontrada na via aérea).

Se o doente tosse muito ou tem dificuldade em respirar, a peça pode ter sido aspirada.Quando isto acontece pode ser muito alarmante para o doente. Se alguém que esteja com o doente conseguir ver a peça, pode cuidadosamente tentar tirá-la. Mas não faça nada se achar que não pode fazer da melhor maneira. Ligue ao seu Médico Dentista

Riscos de um tratamento ortodôntico

Todos os tratamentos dentários, incluindo o tratamento ortodôntico, têm benefícios e limitações.

Felizmente, na ortodontia, as complicações são pouco frequentes e quando ocorrem, têm consequências mínimas. Contudo, todos os potenciais riscos e limitações devem ser consideradas quando se toma a decisão de fazer um tratamento ortodôntico.

Deve ter conhecimento dos potenciais riscos e limitações que se aplicam ao seu caso e deve saber se existem outros tratamentos alternativos. Pergunte ao seu Médico Dentista tudo o que não tenha percebido.

Deve clarificar as suas expectativas quantos aos resultados do tratamento enquanto doente para atingir bons resultados. Saiba que no tratamento ortodôntico, como na Medicina em geral, os resultados não podem ser garantidos. O factor desconhecido em qualquer tratamento é a resposta do doente ao tratamento ortodôntico.

Os principais riscos do tratamento ortodôntico estão relacionados com:

Higiene oral e dieta

Se os dentes não são higienizados correctamente, podem surgir problemas como doença gengival, cárie dentária e desmineralizações (manchas brancas nos dentes).

Uma dieta rica em açúcar aumenta a probabilidade de desmineralizações e cárie dentária.

Os aparelhos ortodônticos não causam estes problemas. Contudo, é necessário mais esforço para manter uma adequada higiene oral quando se usa um aparelho, e os riscos de qualquer destes problemas aparecerem é maior durante um tratamento ortodôntico

Portanto, é essencial ter um cuidado especial na higiene oral quando se está em tratamento ortodôntico. Durante o tratamento o seu Médico Dentista deve avisá-lo se não está a fazer uma higiene adequada.

Recidiva

Os dentes podem ter tendência para mudar as suas posições após o tratamento. O uso adequado de contenções reduz este risco.

Os dentes podem mover-se em qualquer altura, tenham sido ou não, submetidos a tratamento ortodôntico. Isto é especialmente verdade durante o final da adolescência quando um período de crescimento activo dos ossos faciais está em fase terminal.

Os dentes mais vulneráveis são os dentes da frente (incisivos). Durante a vida, a mordida pode modificar-se devido a vários factores como erupção dos terceiros molares- sisos, respiração bucal e hábitos orais como por exemplo tocar um instrumento musical de sopro.

Só muito ocasionalmente é que os movimentos dentários são tão severos que necessitem de um novo tratamento para atingir um resultado satisfatório.

Saúde gengival

A saúde do osso e gengiva que suporta os dentes pode ser afectada pelo movimento dentário se já existia doença, e em raras ocasiões onde não aparentava existir doença gengival.

Regra geral, o tratamento ortodôntico diminui a possibilidade de perdas dentárias e infecção gengival devido ao desalinhamento dos dentes e dos maxilares.

Pode ocorer inflamação das gengivas e perda de osso de suporte se a placa bacteriana não é removida diariamente com uma boa higiene oral.

Reabsorção radicular

Em alguns doentes, o comprimento das raízes dos dentes pode diminuir durante o tratamento. Alguns doentes são propensos a esta reabsorção, outros não. É quase impossível prever susceptibilidade.

Usualmente esta reabsorção não tem consequência alguma, mas em raras ocasiões pode ser uma ameaça à longevidade do dente envolvido.

Articulação temporo-mandibular (ATM)

Ocasionalmente os doentes podem sofrer de dores ou disfunção da ATM. Pode-se manifestar como dor articular, de cabeça ou ouvidos.

Estas manifestações podem ocorrer com ou sem tratamento ortodôntico. Qualquer dos sintomas deve ser transmitido ao Médico Dentista. Alguns doentes estão susceptiveis a problemas na ATM e outros não.

Numerosos estudos demonstraram que o movimento dos dentes durante o tratamento ortodôntico está relacionada com o inicio dos problemas da ATM.

Tal como as dores nas outras articulações, o desconforto na ATM pode durar desde poucos dias a várias semanas.

Vitalidade dentária

Por vezes os dentes podem ter sido traumatizados por um acidente prévio ou os dentes podem ter tido cárie dentária ou restaurações que podem causar danos à polpa (nervo) do dente.

O movimento ortodôntico, em alguns casos, pode agravar esta situação, e em raras ocasiões pode levar à perda da vitalidade dentária e à sua descoloração, sendo necessário proceder ao tratamento endodôntico (“desvitalização”) e outros tratamentos dentários para restabelecer a coloração dentária.

Perda de peças e desconforto

O desconforto típico do uso de um aparelho recém-colocado dura entre 24-48 horas.

As gengivas, bochechas e lábios podem ser feridos ou irritados por um aparelho posto recentemente, por perda de peças, peças descoladas ou partidas do aparelho. Será instruído pelo seu Médico Dentista no sentido de minimizar estes efeitos.

Muito raramente, podem ser engolidas peças do aparelho que se soltam.Assim que se aperceba, deve avisar o seu Médico Dentista de sintomas estanhos ou quando se soltam peças do aparelho.

Crescimento atípico

O crescimento dos maxilares pode ser insuficiente, excessivo ou assimétrico. Isto pode limitar o Médico

Dentista a atingir os resultados desejados.Se o crescimento se torna desproporcionado durante o tratamento, o tratamento pode ser mais prolongado.

Alterações de crescimento que ocorram após o tratamento ortodôntico podem alterar a qualidade dos resultados do tratamento, assim como requerer a necessidade de um novo tratamento.

Em alguns casos de crescimento atípico, a mordida pode alterar tanto que pode ser necessário recorrer à cirurgia maxilo-facial.

Máscaras

Se incorrectamente usadas, podem causar danos na face.

Tempo de tratamento

O tempo total de tratamento pode exceder o tempo estimado.

Os factores mais comuns responsáveis pelo aumento do tempo de tratamento e que podem comprometer a qualidade dos resultados são: pouca colaboração do doente no uso de elásticos as horas necessárias por dia; fraca higine oral; peças soltas ou partidas e falta às consultas de controlo.

Colaboração do doente

Uma boa colaboração do doente é a melhor garantia para atingir um sorriso bonito e uma boa mordida.

Uma falta de colaboração do doente pode levar o Médico Dentista a alterar o plano de tratamento e os objectivos do tratamento. Em última instância, o tratamento pode ser suspenso. A consequência de um abandono de tratamento pode ser pior do que se não tivesse sido feito nenhum tratamento.

Procedimentos de medicina dentária generalista

Quando os dentes têm variações da forma ou número, para atingir o resultado ideal ( por exemplo para fazer o fecho completo de espaço excessivo) pode ser necessário fazer restaurações, coroas e tratamentos gengivais.

Saúde geral

Prolemas de saúde podem afectar o tratamento ortodôntico . Deve informar o seu Médico Dentista de qualquer alteração no seu estado de saúde.

Cirurgia maxilo-facial

Quando a desarmonia entre a posição dos maxilares é severo, pode ser necessário fazer reposicionamento cirúrgico para estabelecer a correcta mordida e um perfil facial mais harmonioso.

O tratamento ortodôntico envolve o uso de aparelho para alinhar, nivelar e coordenar os dentes em cada maxilar seguido de cirurgia para reposicionar o maxilar, de modo que os dentes encaixem correctamente.

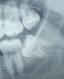
Terceiros molares – dentes do siso

terceiros molares sisoNo final da adolescência, os terceiros molares erupcionam e os dentes inferiores da frente gradualmente ficam mais irregulares.

No passado, pensava-se que a pressão exercida pelos terceiros molares causava aumento da irregularidade. Contudo, estudos recentes sugerem que estes dois eventos não estão relacionados.

De facto, é normal que os incisivos inferiores fiquem mais apinhados com o crescimento, quer estejam ou não presentes os terceiros molares!!!

Hoje em dia, os terceiros molares não são extraídos por rotina. Um raio-x é essencial para uma avaliação de cada caso em particular.

Regras gerais para o tratamento dos terceiros molares

Se o terceiro molar erupciona totalmente para uma posição funcional onde pode ser mantido higienizado e saudável, então o dente deve ser mantido.

Se o terceiro molar erupciona parcialmente, mas falta espaço para erupcionar totalmente, normalmente aparece uma inflamação local na gengiva.

Episódios de infecção aguda na gengiva são comuns, particularmente quando as resistências são baixas. O dente deve ser extraído.

Se o terceiro molar não erupciona, poderá ser mantido. Normalmente há um baixo risco associado deixando-o em boca e um baixo risco associado à sua extracção.

Custo do tratamento ortodôntico

Depende da severidade do problema ortodôntico. Não existem dois tratamentos iguais.

A clínica

pedromoutinho.pt

O nosso compromisso

A Clínica Dentária Dr. Pedro Moutinho prima por trabalhar segundo os melhores padrões de qualidade, promovendo a Saúde Oral a todos os seus clientes.